近日,我院神经外科团队连续为多例垂体瘤患者成功实施神经导航辅助显微镜下经单鼻孔入路肿瘤切除术,患者术后均恢复良好,快速出院。
患者一:21岁女性,月经紊乱半年
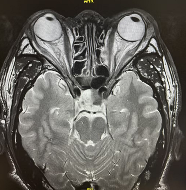
患者为21岁年轻女性,因“月经紊乱6月余”来院就诊。当地医院MRI提示垂体占位,激素检验显示泌乳素高达273ng/ml(较正常值高了11倍)。经我院神经外科进一步评估,确诊为垂体瘤。
术前眼科会诊发现,患者虽自觉视力无明显下降,但视野检查已提示右眼生理盲点扩大、周边颞上方片状视野缺损——这是垂体瘤向上压迫视交叉的早期信号。内分泌科同步介入,全面评估激素水平,为手术保驾护航。术后泌乳素即刻恢复正常,术后6天康复出院。
患者二:48岁男性,肢端肥大十余年,面容改变敲响警钟
另一例患者为48岁男性,十余年前即出现手脚增大、口唇肥厚等肢端肥大表现,外院检查提示垂体瘤,但因未及时干预,症状逐渐加重,严重影响外观。此次来院,生长激素相关指标明显升高(较正常值高了20倍),手术指征明确。术后复查生长激素水平明显下降。
患者三:52岁,一次头部外伤,揭开隐藏的“不定时炸弹”
患者52岁男性,因摔倒致头部外伤急诊入院,行颅脑CT检查意外发现:鞍区占位性病变。入院后进一步检查显示,患者泌乳素升高,性腺、甲状腺、肾上腺皮质功能均减退,考虑为垂体瘤压迫正常垂体组织有关,手术指征明确。
如果不是这次外伤,这个肿瘤可能还在悄无声息地生长,直到某天引发更严重的后果。而在这之前,患者并无任何明显不适症状。
垂体:豌豆大小的“人体内分泌总司令部”
垂体是一个非常重要的内分泌腺,它位于大脑底部的垂体窝中。虽然只有豌豆大小,却与身体的各项功能调节息息相关。大众所熟知的生长激素、促甲状腺激素,还有与妇女生育、男性性功能相关的催乳素,以及影响皮肤色素觉着的促黑激素等,都是在这里分泌的。
在临床上,根据有无异常激素分泌,垂体瘤可分为两种:
一种是非功能性肿瘤,不分泌过量激素,对人体内分泌系统影响较小,往往因肿瘤增大压迫周围结构(如视神经)才被发现。
另一种是功能性垂体瘤,肿瘤细胞会过量分泌某种激素,引起相应的内分泌紊乱:
1.泌乳素型:多数为女性患者,主要表现为闭经、泌乳、不育。男性患者主要表现为男性性功能减退,如性欲下降、阳痿和不育。
2.生长激素型:主要表现为巨人症、面容改变、手足粗大(穿鞋子尺码增加)、多汗、骨关节病变、腕管综合征、手足指(趾)软组织及关节的肿胀、血压升高、血糖升高、冠心病等等。
3.促肾上腺皮质激素型(ACTH):主要表现为向心性肥胖、满月脸、痤疮、多毛、紫纹(身上紫红色的皮纹)。
4.促甲状腺激素(TSH)分泌型垂体瘤:主要表现为高代谢的症状怕热、多汗、食量增加但体重下降、心慌房颤等。
近年来,垂体瘤检出率逐年上升,垂体瘤是颅内常见的良性肿瘤之一,主要原因包括:
影像技术普及:高分辨率MRI的广泛应用,使许多无症状的微腺瘤被偶然发现
健康意识提升:更多人因内分泌症状(如月经紊乱、泌乳、肢端肥大、性功能下降等)主动就医
激素检测普及:血液中垂体激素水平的精准测定,帮助发现功能性腺瘤
需要警惕的症状:如果您或家人出现以下情况,建议尽早就诊神经外科或内分泌科,进行垂体MRI及激素水平检测:
女性:月经紊乱、闭经、不明原因泌乳、不孕
男性:性欲下降、勃起功能障碍、乳房发育
肢端肥大:手脚增大、面容粗犷、口唇肥厚、下颌突出
视力视野改变:视力下降、看东西不全、易撞到门框
其他:头痛、恶心、不明原因的晕厥等
垂体瘤的治疗:从开颅到经鼻微创
过去,垂体瘤手术需要开颅,创伤大、恢复慢、风险高。随着神经外科技术的发展,神经内镜/显微镜下经单鼻孔入路手术已成为垂体瘤的主要治疗方式。
针对上述患者的情况,我院神经外科团队建议采用神经导航辅助显微镜下经单鼻孔入路鞍区肿瘤切除术。该术式仅通过右侧鼻孔约1.5cm的黏膜切口进入,在神经导航系统实时定位引导下,精准磨除蝶窦骨质,暴露鞍底,在显微镜下完成肿瘤的精细切除。
术中视野清晰、操作精准,既保证了肿瘤的全切率,又最大限度保护了正常垂体组织及周围重要神经血管。术后患者恢复顺利,内分泌功能逐步稳定,视力视野得到有效保护。
多学科协作:为患者提供全程管理
垂体瘤的诊治往往需要多个学科的协作。我院神经外科与内分泌科、眼科、检验科、放射科、病理科等多学科保持密切合作,建立了多学科协作(MDT)模式,为每位患者提供从术前评估、手术实施到术后管理的全流程个体化诊疗:
术前:内分泌科评估激素水平,眼科检查视野功能,影像科精准定位肿瘤
术中:神经导航系统辅助定位,进行精准微创手术
术后:内分泌科跟踪激素变化,定期随访监测,确保长期疗效
以精准之技,护生命之腺
垂体虽小,关乎全身。作为人体内分泌的“总司令部”,垂体瘤的诊治需要精准的判断与精细的操作。
神经外科团队在垂体瘤微创手术领域积累了丰富经验。科室配备神经导航系统、高清显微镜、神经内镜等先进设备,可实现:
精准定位肿瘤边界,避免盲目探查
实时保护视神经、颈内动脉等重要结构
最大限度保留正常垂体功能,减少术后内分泌紊乱
苏州明基医院神经外科将继续以前沿的微创技术、严谨的多学科协作、温暖的人文关怀,为每一位垂体瘤患者提供高质量的诊疗服务。
